Latest کسب و کار News
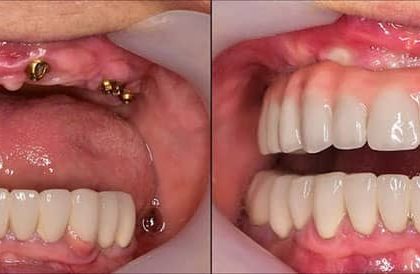
آینده دندانپزشکی: از درمانهای سنتی تا فناوریهای شگفتانگیز
تصور کنید صبح یک روز کاری، بیماری وارد مطب دندانپزشک میشود که…
پیچ خشکه چیست و چرا در صنعت و ساختمان پرکاربرد است؟
پیچ خشکه از مهم ترین اتصالات مکانیکی در صنایع مختلف محسوب می شوند. از…
پیامدهای ناشی از انتخاب سرسیم نامناسب در صنایع مختلف
سرسیم یکی از اجزای مهم در اتصالات الکتریکی است که بهظاهر…
قیمت راه اندازی خط رنگ پودری در ۱۴۰۴
رشد روزافزون صنایع در کشور، نیاز به ارتقای کیفیت پوششهای سطحی…
بهترین سایت های خرید کلاه کاسکت و لوازم موتورسواری
با گسترش روزافزون صنعت موتورسواری، لوازم جانبی مناسب، به ویژه کلاه کاسکت،…
دکتر محمد مهاجری – وکیل پایه یک دادگستری و استاد دانشگاه
در مسائل پیچیده حقوقی، انتخاب وکیل متخصص و با تجربه میتواند سرنوشت…
چگونه با استفاده از بازاریابی پیامکی فروش خود را افزایش دهیم؟
یکی از موضوعاتی که در تمامی کسبوکارهای کوچک و بزرگ اهمیت بسیار…
راهنمای جامع نگهداری و افزایش طول عمر لوازم خانگی
مقدمه: در دنیای پرشتاب امروز، لوازم خانگی نه تنها ابزاری برای راحتی…
بهترین دستگاه ها برای تولید مواد غذایی
صنعت تولید مواد غذایی یکی از حیاتیترین بخشهای اقتصاد جهانی است که…
راهنمای ایمنی برای کار در ارتفاع و استفاده از ابزار استاندارد
مقدمه کار در ارتفاع یکی از خطرناک ترین فعالیت ها در پروژه…
